1
/
of
1
Scintica
ExiTron™ MyoC 8000
ExiTron™ MyoC 8000
Regular price
$719.20 USD
Regular price
Sale price
$719.20 USD
Quantity
Couldn't load pickup availability
Admin Fee
An additional fee of 10% will be added to your order for this particular product
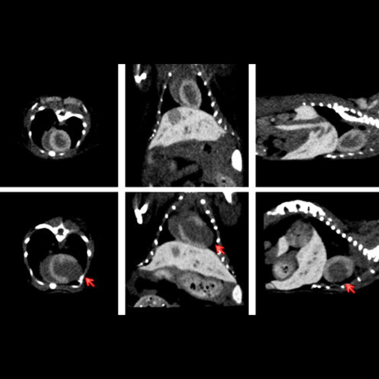
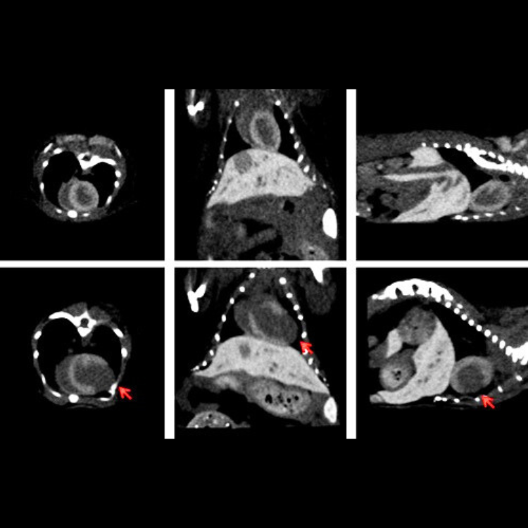
ExiTron MyoC 8000 is an innovative nanoparticulate agent optimized for CT studies of the myocardium. Its accumulation in healthy myocardial tissue as well as its high iodine concentration and long blood half-life enable visualization of pathological changes of the myocardium as well as functional cardiac imaging.
The unique nanoparticulate agent for CT of the myocardium:
- Optimally enhances the myocardium and allows detection of pathological changes therein
- Is completely cleared within a day enabling multiple injections in longitudinal studies
- Has a high biological tolerability allowing studies even in weak animals with severe cardiac pathologies
Apply ExiTron MyoC 8000 to:
- Effectively visualize pathological changes of the myocardium, e.g. infarction
- Quantify infarct size
- Investigate functional cardiac parameters
Physico-chemical properties and structure
Mean hydrodynamic diameter:
~300 nm
Hounsfield units (undiluted agent):
~8000 HU
Schematic diagram of an ExiTron MyoC 8000 nanoparticle
Share
